Tous Sur Quatre Et Tous Sur Six
Qu’est-ce que la technique d’implant All On Four et All On Six Implant, qu’est-ce que cela signifie ? Comment est fabriqué l’implant All On Four/All On Six ? Avantages du traitement implantaire All On 6 et All On 4
Les techniques implantaires « All-on-4 » et « All-on-6 » sont connues comme méthodes de traitement de prothèse fixe appliquées par les dentistes aux patients présentant un édentement complet. L’avantage des traitements implantaires All On 4 et All On 6, qui augmentent la résistance de l’os de la mâchoire chez les patients ayant perdu leurs dents et restaurent définitivement les dents manquantes, peut être répertorié comme étant leur durabilité et leur durabilité. Ceux qui souhaitent avoir des implants dentaires naturels pour remplacer leurs dents perdues peuvent choisir les techniques d’implant tout sur quatre et d’implant tout sur six, qui fonctionnent mieux que les prothèses dentaires et les ponts inconfortables. Alors, qu’est-ce que la technique d’implant All On Four et All On Six Implant ? Quels sont les inconvénients et les avantages des implants tous sur quatre / tous sur six ?
Qu’est-ce que tous les quatre / tous les six implants ? C’est l’une des questions les plus fréquemment posées par les personnes souhaitant poser des implants dentaires pour remplacer des dents manquantes. Les implants dentaires All on 4 et All on 6 sont considérés comme la référence en matière de traitement dentaire depuis 20 ans et améliorent considérablement la qualité de vie des patients en fournissant des solutions à la fois esthétiques et fonctionnelles.
Bien que les implants All on 6 et All on 4 visent normalement à obtenir des résultats similaires, certaines différences importantes peuvent amener un dentiste à préférer l’un à l’autre. Voici des informations détaillées sur les quatorze implants et les dix six implants.
Que signifient les dix quatre implants et les dix six implants ?
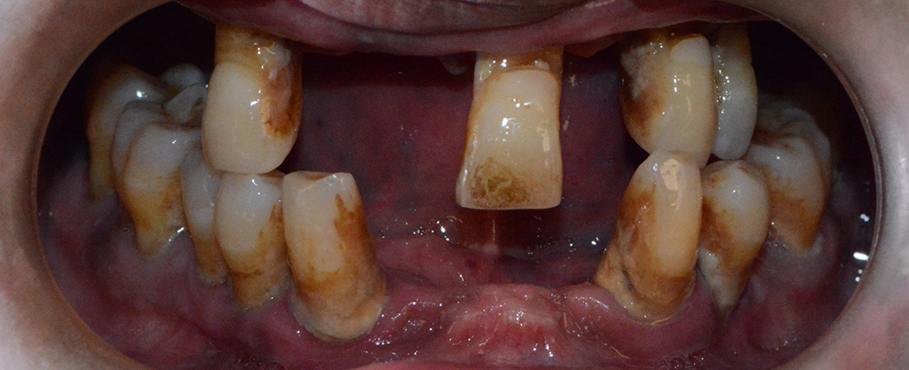
L’implant dentaire est une méthode de traitement utilisée pour des problèmes qui affectent négativement des fonctions importantes telles que la perte des dents, l’esthétique, la parole et la nutrition. Les prothèses traditionnelles ne suffisent souvent pas à garantir la satisfaction du patient. Dans de tels cas, les techniques « All on 4 » et « All on 6 » ont été développées pour offrir une meilleure solution aux patients présentant un édentement complet. Dans le traitement implantaire All on 6 et All on 4, celui-ci est soutenu par des implants fixés à la mâchoire et une prothèse entièrement fixée est posée dessus. De cette façon, les patients se débarrassent des problèmes causés par les prothèses amovibles et obtiennent une structure dentaire plus naturelle.
Qu’est-ce que l’implant All On Four ?
La technique implantaire All on 4 permet de poser une prothèse complète sur seulement 4 implants. Surpassant les prothèses et les ponts inconfortables, l’implant All on four est une procédure dentaire qui vise à soutenir un ensemble complet de dents prothétiques en utilisant seulement quatre implants dentaires stratégiquement placés. Cette méthode est particulièrement utile pour les patients qui ont perdu toutes leurs dents. Les implants sont placés à des angles spécifiques pour maximiser la stabilité et le soutien de la prothèse, offrant ainsi une solution de remplacement dentaire fiable et à long terme.
Comment appliquer la technique implantaire All-on-4 ?
Comment se déroule le soin All on Four ? C’est une autre question qui intéresse les patients qui souhaitent avoir une prothèse dentaire et qui ressentent de l’anxiété. Lors du traitement des implants All on 4, il convient tout d’abord de réaliser un examen clinique et radiologique détaillé des patients. Les mesures sont effectuées par tomodensitométrie (TDM) et un plan approprié est préparé pour le patient. Quatre implants sont placés dans la mâchoire. Les implants sont généralement placés sous forme de deux implants supérieurs et de deux implants inférieurs. Cette mise en place se fait généralement sous anesthésie locale. Ensuite, une fois les implants posés, une prothèse provisoire est généralement réalisée immédiatement. De cette façon, on évite que le patient ne devienne édenté.
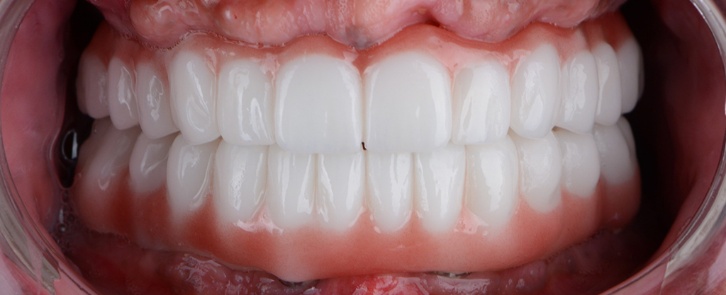
Pendant le processus de guérison, la fusion des implants avec la mâchoire peut généralement prendre de 3 à 6 mois. Durant cette période, la mâchoire s’adapte aux implants. Lorsque le processus de cicatrisation est terminé après le temps requis, des prothèses dentaires permanentes sont préparées et fixées sur les implants. Les prothèses permanentes imitent l’apparence et la fonction des dents naturelles. La méthode All-on-4 est généralement préférée chez les patients qui n’ont pas suffisamment d’os de la mâchoire, car les implants sont placés selon un angle spécial et assurent la stabilité avec une petite quantité d’os.
À qui l’implant All-on-4 est-il appliqué ?
Cela peut être une solution idéale pour les personnes ayant une faible densité osseuse. Il convient également à ceux qui recherchent une option plus rapide et moins invasive.
Qu’est-ce que l’implant All On Six et comment est-il appliqué ?
Les implants dentaires All on 6 sont utilisés pour remplacer les dents manquantes par des prothèses dentaires fixes, similaires à la méthode all on 4. Dans cette technique, qui permet d’obtenir un sourire plus confortable et plus durable, six implants au total sont posés dans la mâchoire inférieure ou supérieure. Dans la technique du tout sur six, tout comme dans l’autre technique du tout sur quatre, l’état de la mâchoire du patient est évalué. Cela se fait généralement avec des radiographies et des tomodensitogrammes. Ensuite, des mesures d’implants et de prothèses sont prises. Votre dentiste place six implants dans votre mâchoire. Les implants sont situés sous forme de vis en titane dans la mâchoire. Les implants sont souvent placés obliquement pour offrir plus de soutien dans les zones postérieures. Cette procédure est généralement réalisée sous anesthésie locale. Dans certains cas, une sédation peut également être privilégiée.
Une fois les implants posés, le processus de cicatrisation de votre mâchoire autour des implants et d’ostéointégration (la jonction de l’os et de l’implant) commence. Ce processus peut prendre plusieurs mois. Au cours de ce processus, une prothèse provisoire peut être appliquée. Après le délai d’attente requis, une prothèse dentaire permanente est installée.
Qui peut bénéficier de la technique d’implantation All On Six ?
Cette méthode peut convenir aux patients dont l’os de la mâchoire est suffisant ou qui ne nécessitent pas de procédures supplémentaires telles qu’une greffe osseuse. Compte tenu des mécanismes de morsure et de mastication, une répartition adéquate de la pression prolonge la durée de l’implant All On Six.
L’implant All On Six convient aux patients ayant une bonne structure osseuse et recherchant une solution plus durable.
Quelles sont les différences entre les techniques All On 4 et All On 6 ?
Dans le traitement « all on six », six implants sont placés sur la mâchoire inférieure ou la mâchoire supérieure, ce qui permet de répartir la force plus uniformément et aide généralement l’os de la mâchoire à fournir un meilleur soutien.
Dans le traitement « tout sur quatre », quatre implants sont utilisés et ces implants sont généralement placés dans la partie avant de la mâchoire. Cette méthode peut être plus adaptée, notamment aux patients dont la mâchoire n’est pas assez solide, car elle permet de soutenir toutes les dents avec quatre implants.
Les deux techniques conviennent aux patients à qui il manque toutes leurs dents, mais le choix se fait en fonction de la structure de la mâchoire et des besoins spécifiques du patient.
Quels sont les avantages des implants All On Four ?
Les divers avantages de la technique implantaire All on 4 incluent le coût, la rapidité de traitement et l’apparence naturelle. Les avantages des implants All on Four pour les patients ayant des dents manquantes peuvent être répertoriés comme suit :
Puisque seulement 4 implants sont utilisés, le processus est plus rapide et prend moins de temps.
Dans la technique All on 4, les implants sont généralement placés dans des zones naturellement fortes de la mâchoire. Ainsi, cela peut réduire le besoin de greffe osseuse et l’éliminer complètement chez certains patients.
C’est une méthode de traitement rapide et efficace. Une fois les implants posés, des dents temporaires peuvent être installées en peu de temps. De cette manière, on évite aux patients de devenir édentés.
Moins d’interventions chirurgicales sont prévues dans la technique All on 4.
Les prothèses dentaires créent un confort esthétique en restaurant l’apparence et la fonction des dents naturelles.
Cette méthode restaure les fonctions des dents naturelles, ce qui améliore la capacité de mâcher et de parler.

Quels sont les inconvénients des implants All On Four ?
Les inconvénients de la technique All on 4 sont souvent interrogés par les patients. Les inconvénients de la technique All on Four, qui est complétée par un processus extrêmement confortable pour les personnes souffrant de perte de dents, sont répertoriés comme suit :
Tout sur 4 peut nécessiter une densité osseuse adéquate dans certains cas. Chez les patients présentant une faible densité osseuse, cette technique peut ne pas être adaptée ou une greffe osseuse supplémentaire peut être nécessaire.
Chez certains patients, la technique tout sur 4 peut ne pas fournir un soutien adéquat à long terme, ce qui peut affecter le succès de l’implant.
En cas de perte de dents multiples, de carences dentaires importantes ou de structure complexe de la mâchoire, la méthode tout en 4 peut créer certaines difficultés et nécessiter un processus de traitement plus complexe.
Bien que 4 implants fournissent un soutien suffisant dans la plupart des cas, un soutien plus important peut être nécessaire dans certains cas (en particulier chez les patients appliquant des forces de mastication élevées). Dans de telles situations, des alternatives telles que All on 6 peuvent être plus adaptées.
Bien que All on 4 puisse être plus abordable que certaines autres méthodes implantaires, son coût peut néanmoins être élevé par rapport à d’autres traitements dentaires.
Quels sont les avantages des implants All On 6 ?
Les prothèses dentaires fixes peuvent être appliquées aux patients ayant des dents manquantes en une seule intervention chirurgicale.
Dans la technique implantaire All on 6, l’opération devient plus simple car des procédures chirurgicales avancées telles que le lifting des sinus ou l’ajout d’os ne sont pas effectuées.
Il offre une apparence esthétique et une ligne de sourire personnalisées.
La durée du traitement des implants dentaires est assez courte.
Par rapport aux prothèses fixes sur implants dentaires conventionnels, elles sont plus faciles à nettoyer et à entretenir.
Il convient aux patients qui ne peuvent pas utiliser de prothèses amovibles ou qui ont un réflexe nauséeux.
Sa conception est différente des prothèses complètes ; elle est plus facile à s’habituer et à utiliser puisqu’elle ne recouvre pas le palais.
Quels sont les inconvénients des implants All On 6 ?
Les inconvénients des implants dentaires All on 6 varient en fonction de divers facteurs et peuvent être répertoriés comme suit :
Le traitement implantaire All on 6 est généralement plus coûteux que les autres méthodes d’implants dentaires. Cela peut créer une charge financière importante pour les patients, car le traitement n’est souvent pas couvert par leur assurance maladie.
Le processus de guérison après la pose des implants peut prendre plusieurs mois. Durant cette période, les patients peuvent devoir vivre avec des dents temporaires.
Comme pour toute intervention chirurgicale, le traitement implantaire All On 6 comporte des risques tels que des infections, des saignements ou des problèmes de cicatrisation.
Un soutien adéquat de l’os de la mâchoire est nécessaire à la réussite du traitement. Des interventions chirurgicales supplémentaires (telles qu’une greffe osseuse) peuvent être nécessaires chez les patients présentant une structure osseuse inadéquate.
Technologie et progrès
De nos jours, avec le développement de la technologie, les deux méthodes se sont améliorées. La planification numérique (imagerie 3D, logiciel de planification numérique), les guides chirurgicaux informatisés, la nanotechnologie, les matériaux avancés, les simulations numériques, la technologie CAO/FAO permettent une application plus fiable et plus précise des implants. Ces évolutions technologiques augmentent le taux de réussite des systèmes implantaires tout sur 4 et tout sur 6 et améliorent le confort du patient. Votre dentiste évaluera comment utiliser ces technologies en fonction de vos besoins spécifiques.
Les implants All on 4 et All on 6 sont-ils durables ?
Lorsqu’ils sont bien entretenus, les implants tous sur 4 et tous sur 6 peuvent souvent durer 10 à 20 ans, voire plus. Cependant, cette période peut varier en fonction des soins personnels et de l’état de santé général. Un brossage régulier, l’utilisation de la soie dentaire et un nettoyage professionnel peuvent prolonger la durée de vie des implants et des prothèses dentaires.
Des contrôles réguliers chez le dentiste sont importants pour détecter et intervenir à un stade précoce en cas d’éventuels problèmes.
Points à considérer après les techniques All-on-4 et All-on-6
La longévité des implants dentaires après traitement peut varier en fonction de l’utilisation du patient.
Des conditions telles que le brossage des dents, l’utilisation de fil dentaire, un bain de bouche antibactérien, les aliments mous, une alimentation équilibrée, éviter les surcharges, éviter de fumer et la consommation excessive d’alcool sont efficaces pendant la période d’implantation dentaire.
Votre dentiste peut vous fournir des soins plus détaillés et des recommandations en fonction de vos besoins spécifiques.
Technique tout sur 8
All-on-8 est un traitement implantaire utilisé lors de la réalisation de prothèses dentaires complètes de la mâchoire. Dans cette méthode, 8 implants sont placés dans la mâchoire supérieure ou inférieure et ces implants sont utilisés pour soutenir une prothèse fixe. La technique all-on-8 offre une solution plus naturelle et permanente pour remplacer les dents manquantes chez les patients qui ont perdu leurs dents, comme les techniques all-on-4 et all-on-6. Comment décide-t-on d’utiliser la technique all on 8 chez un patient ? Si le patient a la bouche large, la technique du tout en 8 est utilisée. Si le patient présente une densité osseuse élevée, cette technique est plus sûre et plus durable que la technique à six implants.
Avantages et fonctionnalités de All-on-8 :
Stabilité : 8 implants offrent une plus grande stabilité par rapport aux méthodes utilisant moins d’implants (par exemple Tous sur 4 ou tous sur 6).
Densité osseuse : Cette méthode est recommandée pour les patients présentant une densité osseuse suffisante au niveau de la mâchoire.
Prothèse fixe : La prothèse fixée aux implants fonctionne comme des dents naturelles, et les fonctions de mastication et de parole deviennent plus confortables.
Durabilité : Lorsqu’ils sont bien entretenus, les implants All on 8 peuvent durer de nombreuses années.
Vous pouvez nous contacter pour obtenir des informations plus détaillées et connaître le traitement qui vous convient.
- Bizi Instagram'da takip edin
