Qu’est-ce que l’Esthétique du Sourire et Comment Est-elle Réalisée ? Quelles Sont les Procédures et Combien de Temps Cela Prend-il ?
L’esthétique du sourire, également appelée conception du sourire, a gagné en popularité ces dernières années, tant dans les domaines de la dentisterie que de la cosmétique. Cette discipline englobe les interventions dentaires visant à rendre le sourire d’une personne esthétiquement beau et attrayant. En améliorant des éléments tels que la couleur, la forme, la taille et l’alignement des dents, ces procédures contribuent à offrir un sourire à la fois sain et séduisant.
L’esthétique du sourire joue un rôle crucial dans l’amélioration de la confiance en soi, avec des effets positifs sur les relations sociales et la vie quotidienne. Avec les technologies modernes, ces procédures permettent de répondre aux attentes croissantes des patients en quête d’un sourire idéal.
Pour ceux qui souhaitent obtenir un sourire parfait, souvent appelé le « Hollywood Smile », les questions fréquemment posées sont : Qu’est-ce que l’Esthétique du Sourire ? Comment Est-elle Réalisée ? Voici tous les détails sur les procédures de conception du sourire et le temps nécessaire pour les réaliser.
Les applications d’esthétique du sourire, les personnes qui en bénéficient et les méthodes de traitement suscitent beaucoup de curiosité chez ceux qui souhaitent subir ces interventions. Les traitements de l’esthétique dentaire, plus particulièrement ceux connus sous le nom de « sourire hollywoodien », visent à améliorer l’apparence esthétique du sourire, ce qui, en retour, renforce la confiance en soi et contribue positivement à l’expression faciale générale. Récemment, l’esthétique du sourire a gagné en popularité grâce à différentes méthodes et innovations dans ce domaine. L’une des principales branches de la dentisterie moderne, la conception du sourire, vise non seulement à améliorer le bien-être des patients, mais aussi à garantir l’harmonie entre les lèvres, les gencives et les traits du visage. Alors, comment se réalise l’esthétique du sourire, combien de temps cela prend-il ? Quelles sont les interventions impliquées dans la conception du sourire ?

Qu’est-ce que l’Esthétique du Sourire ?
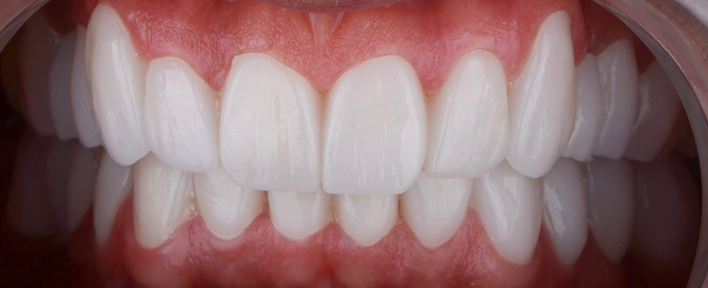
L’esthétique du sourire est un domaine de la dentisterie qui influence considérablement l’expression faciale et l’apparence générale d’une personne. Avec l’augmentation de l’intérêt pour la dentisterie esthétique ces dernières années, la conception du sourire est devenue un sujet populaire. Ce n’est pas seulement une question d’amélioration des dents, mais également d’harmonisation des lèvres, des gencives et des traits du visage.
L’Importance de l’Esthétique du Sourire
Le sourire joue un rôle majeur dans les interactions sociales. Un beau sourire peut laisser une impression positive dans la vie personnelle et professionnelle. L’esthétique du sourire ne se résume pas uniquement à des dents droites et blanches, elle inclut également l’harmonie des lèvres, des gencives et de la structure du visage. De nombreuses personnes peuvent éviter les environnements sociaux ou souffrir d’un manque de confiance en soi si elles sont insatisfaites de leur sourire. Ainsi, l’esthétique du sourire offre non seulement un changement physique, mais aussi une amélioration psychologique.
Les Éléments Essentiels de l’Esthétique du Sourire
Les principaux éléments pris en compte dans l’esthétique du sourire sont les suivants :
La Couleur des Dents : Des dents blanches et brillantes sont un élément essentiel d’un sourire esthétique. Les traitements de blanchiment dentaire aident à éliminer les taches et à améliorer l’apparence des dents.
L’Alignement des Dents : Des dents correctement alignées donnent un sourire esthétiquement agréable. Les traitements orthodontiques sont utilisés pour corriger les dents mal positionnées et créer une ligne de sourire idéale.
La Forme et la Taille des Dents : La forme et la taille des dents doivent être en harmonie avec les traits du visage. La dentisterie esthétique propose diverses procédures pour ajuster la taille et la forme des dents.
Les Gencives : La santé et l’apparence des gencives sont une composante importante d’un beau sourire. Un excès de gencives visibles ou une ligne de gencives irrégulière peuvent nuire à l’esthétique du sourire. Des interventions de modelage des gencives peuvent corriger cette situation.
L’Harmonie avec les Traits du Visage : L’esthétique du sourire vise à obtenir l’harmonie entre les dents, les lèvres et les traits du visage. Cela permet de créer un sourire qui met en valeur la beauté naturelle de l’individu.

Comment Se Réalise l’Esthétique du Sourire ? Quelles Méthodes Sont Utilisées ?
L’esthétique du sourire peut être réalisée à travers diverses méthodes en fonction des besoins de chaque individu et de ses objectifs esthétiques :
Blanchiment Dentaire : L’une des procédures les plus courantes en dentisterie esthétique, le blanchiment dentaire permet d’éclaircir les dents et d’obtenir un sourire plus attrayant.
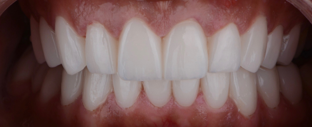
Facettes en Porcelaine (Veneers) : Les facettes en porcelaine sont des revêtements fins appliqués sur la surface avant des dents. Elles permettent de modifier la couleur, la forme et la taille des dents, offrant des résultats proches de l’apparence naturelle.
Traitements Orthodontiques : Les traitements orthodontiques sont utilisés pour redresser les dents mal alignées, fermer les espaces dentaires et obtenir une bonne alignement dentaire. De nos jours, des options orthodontiques esthétiques, comme les gouttières transparentes, sont également disponibles.
Esthétique des Gencives : Les traitements de l’esthétique des gencives sont appliqués pour corriger les sourires « gummy », où les gencives sont trop visibles. Les interventions de modelage des gencives au laser ou la chirurgie sont des méthodes couramment utilisées.
Implants et Prothèses : Les implants dentaires et les prothèses sont utilisés pour remplacer les dents manquantes. Ces solutions sont importantes tant sur le plan fonctionnel qu’esthétique.
Innovations et Tendances Futures
Avec l’avancée technologique, de nouvelles méthodes et approches ont vu le jour dans le domaine de l’esthétique du sourire. La conception numérique du sourire, par exemple, permet aux patients de visualiser leur sourire à l’avance et de personnaliser leur plan de traitement à l’aide de logiciels de conception assistée par ordinateur. De plus, l’utilisation de matériaux biocompatibles et les techniques minimales invasives permettent aux patients de se rétablir plus rapidement et plus confortablement.

Combien de Séances Dure l’Esthétique du Sourire ?
La question de savoir combien de temps dure un traitement d’esthétique du sourire est souvent posée par ceux qui souhaitent se faire traiter. La durée des traitements d’esthétique du sourire varie en fonction des procédures, des besoins de chaque patient et des recommandations du dentiste. En général, les traitements d’esthétique du sourire peuvent durer plusieurs séances. Parmi les interventions possibles figurent le blanchiment dentaire, les couronnes dentaires (facettes ou zirconium), l’alignement des dents (orthodontie) et le modelage des gencives.
En moyenne, un traitement simple d’esthétique du sourire dure de 2 à 4 séances, tandis que des traitements plus complexes peuvent prendre de 6 à 8 séances, voire davantage. Pour obtenir des informations précises sur le plan de traitement, il est préférable de consulter un dentiste.
Ce qu’il faut savoir après un design du sourire
Les soins à apporter après une chirurgie esthétique du sourire peuvent varier en fonction du type et de l’étendue de la procédure. Cependant, il est généralement important de prêter attention aux points suivants :
Douleur et Sensibilité : Vous pouvez ressentir de la douleur ou de la sensibilité pendant les premiers jours après la procédure. Cela peut parfois durer plusieurs mois. Vous pouvez gérer cette situation en utilisant les analgésiques recommandés par votre dentiste.
Alimentation : Pendant les premiers jours, il est important de consommer des aliments mous et tièdes, tout en évitant les aliments trop chauds ou froids. Il est particulièrement recommandé d’éviter les aliments durs ou collants.
Hygiène Dentaire : Continuez à brosser vos dents doucement. Utilisez des dentifrices doux, et évitez les dentifrices abrasifs. Soyez prudent lors de l’utilisation du fil dentaire.
Tabac et Alcool : Il est conseillé de ne pas fumer ni de consommer d’alcool pendant la première semaine après l’intervention, car cela accélère la guérison et réduit les risques d’infection.
Contrôles : Il est important de se rendre aux rendez-vous de contrôle recommandés par votre dentiste pour détecter toute complication éventuelle à un stade précoce.
Aliments Colorants : Il est conseillé d’éviter les aliments pouvant tacher les dents, tels que le thé, le café ou le vin rouge, pendant un certain temps afin de préserver les résultats esthétiques.
Éviter une pression excessive : Évitez d’exercer une pression excessive sur vos dents. Par exemple, évitez de ronger vos ongles ou de mordiller un stylo.
Suivre les instructions spécifiques de votre dentiste accélérera le processus de guérison et aidera à maintenir les résultats esthétiques à long terme.

Qui peut bénéficier du design du sourire ?
Le design du sourire, ou la chirurgie esthétique dentaire, est réalisée par des dentistes pour répondre aux besoins esthétiques et fonctionnels des patients. Voici les personnes qui peuvent bénéficier de cette procédure :
Personnes ayant des problèmes de gencives : Ceux qui ont des gencives visibles (sourire gingival), des récessions gingivales ou des lignes de gencives asymétriques peuvent bénéficier d’un design du sourire.
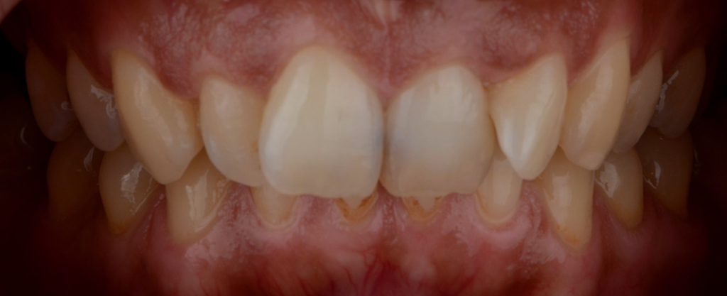
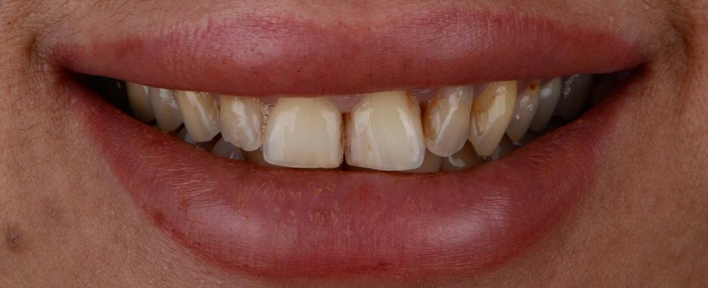
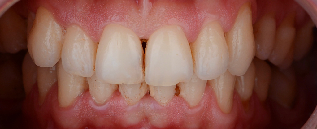
Personnes avec des problèmes esthétiques dentaires : Ceux qui ont des problèmes de couleur, de forme, de taille ou d’alignement des dents peuvent envisager un design du sourire. Cela inclut les dents décolorées, cassées, cariées ou mal alignées.
Patients ayant une usure dentaire : Les personnes dont les dents ont été usées avec le temps, ce qui a provoqué des déformations ou des dents courtes, peuvent également être des candidats pour cette procédure esthétique.
Patients ayant perdu des dents : La perte de dents peut entraîner des problèmes esthétiques et fonctionnels. Le design du sourire permet de restaurer les dents manquantes et d’obtenir une apparence naturelle.
Personnes avec des problèmes de lèvres ou de mâchoire : Les déformations des lèvres ou de la mâchoire peuvent affecter l’esthétique du sourire. Le design du sourire peut inclure non seulement les dents et les gencives, mais aussi les lèvres et la mâchoire.
Personnes souhaitant un aspect plus jeune et dynamique : Le vieillissement peut entraîner une usure des dents, des dents jaunies et des récessions gingivales, ce qui peut affecter l’esthétique du sourire. Les personnes souhaitant un aspect plus jeune et dynamique peuvent également bénéficier du design du sourire.
Le design du sourire est planifié individuellement en fonction des besoins et des attentes de chaque patient. Par conséquent, un dentiste doit effectuer une évaluation complète pour déterminer si cette procédure est appropriée.
Le design du sourire est-il difficile ?
Une question fréquente concerne la difficulté du design du sourire. Le processus de traitement et son niveau de complexité peuvent varier en fonction de la santé générale bucco-dentaire du patient, des objectifs du traitement et des techniques utilisées. Cependant, grâce aux avancées modernes en dentisterie et en technologies esthétiques, de nombreux problèmes peuvent être résolus de manière efficace.
Le design du sourire est-il permanent ?
Beaucoup de patients se demandent si les résultats du design du sourire sont permanents. En général, le design du sourire, c’est-à-dire l’amélioration esthétique des dents et des gencives, donne des résultats durables. Les matériaux utilisés dans les couronnes et les bridges, par exemple, ont une durée de vie moyenne de 10 à 15 ans. Une bonne planification et des contrôles réguliers sont essentiels pour maintenir ces résultats esthétiques sur le long terme. Il est donc important de suivre les soins et les contrôles recommandés par votre dentiste pour garantir la satisfaction à long terme.
Quel est le prix du design du sourire ?
Le coût du design du sourire varie en fonction des techniques utilisées, de la complexité du traitement, des matériaux et des besoins individuels du patient. Par conséquent, il est difficile de donner un prix standard. Pour obtenir des informations plus précises, il est préférable de contacter les cliniques spécialisées en design du sourire.
Pour plus d’informations détaillées et pour connaître le traitement qui vous convient, n’hésitez pas à nous contacter.